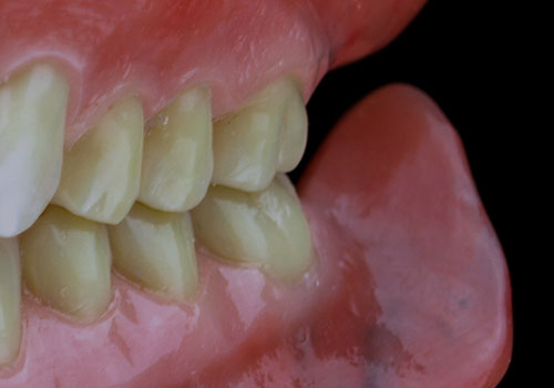
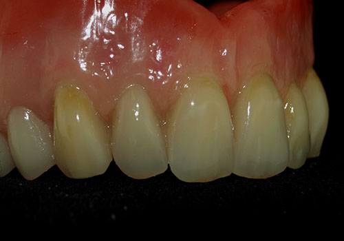
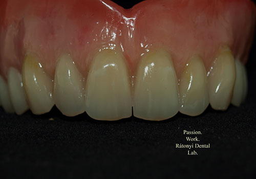
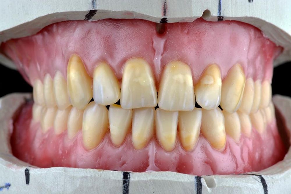
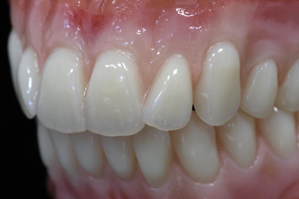
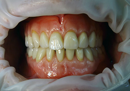
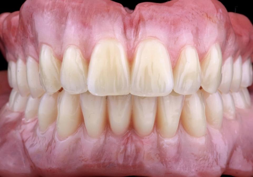
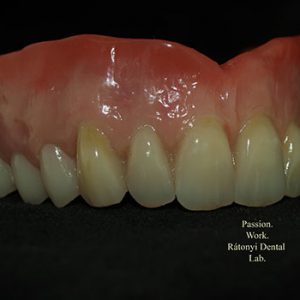
A képeken valós pácienseink láthatók, nem modellek!
Minden képen látható eset élő eset, és az Individuart Fogászati Stúdióban készült.